「這場遊戲沒有任何捷徑可走」是那些寄望手術的患者在十年後才會付出慘痛代價學到的教訓。因為手術無法拉伸軟組織。

不久前,我偶然瞥見了一個名字,讓我想起過去在討論區活躍的一號人物 —— Ronald Ead。記得好多年前,Ronald 很高調地去嘗試了一種叫 AGGA(前向生長引導裝置)的療法,一種透過移動牙齒的位置來達成目的、非常激進的矯正裝置。後來據我所知,他發現這療法對自己造成了傷害,而 AGGA 的創始人最後也吃上了官司,被告得很慘。當時 Ronald 的故事被 tooth-for-a-tooth 網站詳細記錄下來。

不得不佩服 tooth-for-a-tooth 的那群人…… 在我活躍於論壇的 2015 年到 2018 年間,他們確實捕捉並記錄了所有那些引人入勝的案例。我記得我當時甚至還在臉書的留言區和 Ronald 有過幾次互動。
總之,當我最近再次看到 Ronald 這個名字時,他讓我刮目相看。因為在不久之前,我在 YouTube 上無意間發現一個名為 JawHacks 的頻道——在如此冷門的主題領域竟然有高達 6.4 萬的訂閱者,這相當驚人——後來才發現那就是 Ronald 自己的頻道。我得說,他在 YouTube 上還真有一套。

不過,從我隨意看了幾支影片的情況來看,Ronald 基本上是在宣傳下頷骨手術。這讓我再次想起有關「手術」的整個話題。如果說 Ronald 經過將近十年的摸索,最後卻得出了「去開刀動手術」這樣的結論,那很遺憾,我只能完全不同意他的看法。
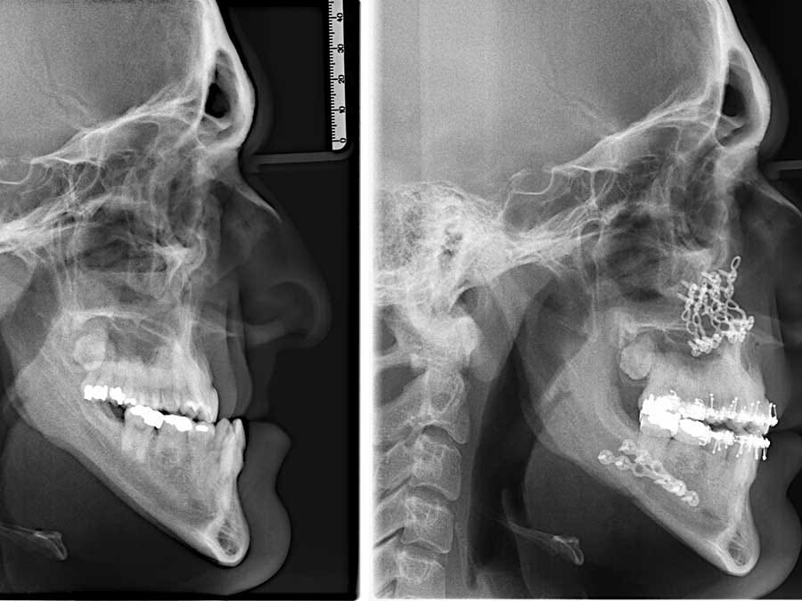
很多人認為可以透過手術來恢復下顎骨位置

我在許多顳顎關節討論社團裡看到,很多人熱烈地討論著要去做下巴手術。他們以為只要透過手術把下巴移到「正確」的位置,所有問題就能迎刃而解。有些人甚至被醫生告知,手術是他們「唯一的選擇」。
但我要直說了 —— 這完全是胡說八道。我在這個領域也有十年了,追蹤過相當多為了治療顳顎關節問題而去動手術的人(他們做手術可不是為了變漂亮)。結果呢?手術之後他們或許短暫覺得好轉…撐上一兩年也許沒問題。但最終,某個時間點他們發現自己又回到了原點。為什麼?因為他們根本沒有解決真正的問題。
手術改變不了軟組織。

外科醫生們不明白一件事:光靠移動骨頭,解決不了這個問題。包覆在你顱骨周圍的軟組織,就好比一顆洩了氣的氣球。當你動手術時,你不過是在那顆癟掉的氣球裡重新擺弄骨頭的位置罷了。但你想想,軟組織最終還是會把一切拉回原來的位置。
你有沒有注意過那些十幾年前做過拉皮手術的人?過去七八年,我特別留心觀察這種例子。他們後來看起來幾乎都怪異至極,極不自然。為什麼?因為軟組織把本來鬆弛的部分又全都拉回去了!而這正是那些外科醫生不想讓你知道的真相。這就是物理現象的威力,你不可能用鋸開骨頭、上螺絲釘的方式來對抗物理法則。
如果不改變軟組織,根本毫無效果。

我在其他文章也談到過,真正要徹底改善問題,只能透過拉伸軟組織這一條路。而要做到這點有兩個原則:
- 第一,增加牙齒垂直高度;
- 第二,解除咬合的鎖定(也就是不要讓牙齒的咬合關係去固定下頷的位置)。
你必須把那顆洩氣的氣球 —— 也就是你的顱骨 —— 重新充飽氣。如此一來,骨骼就會自然向外擴張,回到正確的位置。
我自己每天在做伸展練習時,真的彷彿在硬生生撕開臉部和頭皮下的那些軟組織。(在我之前發表的另一篇文章〈那塊神祕的拼圖碎片是……軟組織〉中,我詳細談過這件事。)只有靠這種方式,你才能帶來永久性的改變。這可不是讓某個外科醫生幫你把下巴移動幾毫米、然後鎖上幾根鋼釘就能達成的。
說實話,我很想看看那些動了手術的患者,再過幾年會是什麼情況。
我注意到 Ronald 的頻道裡經常邀請一位名叫 Dr. David Alfi 的醫生露面。據說 Alfi 醫生宣稱有一種神乎其技的手術,可以「完美矯正」人們的下巴。我今天看了他們的一段影片,他們甚至說 Dr. Alfi 應該去上 Andrew Huberman 或 Peter Attia 這類當紅的健康 Podcast 節目。
但在我看來,他們三個人(不管是 Huberman、Attia 還是 Alfi)全都搞錯方向了。然而相比之下,鼓吹手術這套鬼話才是最糟糕的選項。Huberman 和 Attia 所說的東西頂多沒什麼用處,但至少無害;而拿手術來當萬靈丹,則是有害的歧途。
所以,我對任何正在考慮手術的人提出一個挑戰——幫我找一個五年前做過下巴手術、現在仍然各方面都表現出色的人。我說的不是那種「唉,還過得去啦」勉強可以的人,而是那種真正各方面都很突出的人:健康狀況完美,氣色比以前更年輕,精力充沛得像變了個人。你找不到這樣的人。相信我,我找過了。你能找到的,只會是那些還準備要再動下一次手術的人,或者是又回到老毛病發作、問題重現的人。
所以,選擇長期作戰吧…… 把重心放回軟組織上。

聽我說,我知道手術看起來像是條捷徑。但在這個遊戲裡根本沒有什麼快速解決方案。你需要做的,是專注於正確地拉伸軟組織 —— 不管是透過每天夜裡戴上 Reviv One 這樣的口腔護具,或者使用一般的平面牙托。
這個方法比較慢嗎?是的。需要更多的耐心嗎?絕對需要。
但它真的有效。而且一旦見效,它改善的不只是你的下巴 —— 你的整個身體健康、甚至精神狀態都會因此而提升。我見過有人在論壇上花了五萬美元去做手術,但其實他們只要花 30 美金買個簡單的護齒套,再加上一點耐心,可能就能得到更好的效果。對我來說,這簡直瘋狂至極。
最後,我得把話講明白——我並不是因為對外科醫生有成見才這麼說。我之所以這樣主張,是因為我清楚這個遊戲實際是怎麼運作的。我見識過什麼方法有效、什麼方法沒效,而且我真的親身將自己的狀況矯正回來過不只一次。現在,我正在做最後一次自我調整,等到完成時,我會讓各位親眼見證什麼才叫真正的「大功告成」。
記住 —— 你無法靠手術來違抗物理定律。但你可以順應物理定律,從根本上真正地解決問題。
以上,是 Ken(Reviv 創辦人)對於手術與軟組織關鍵性所提出的觀點和親身經歷分享。身為 Reviv 在台灣的合作夥伴,我們對這種從根本著手、著眼長遠的理念深感認同。現在 Reviv 已經推出 R1 和 R2 兩款夜間護齒套作為居家口腔保健護具,而台灣的朋友現在也可以透過我們取得並使用這些產品。
如果你對 Ken 的觀點產生了共鳴,也想進一步了解或親身體驗這種透過軟組織調整來改善身體的方式,我們誠摯地邀請你深入了解 Reviv 護齒套。許多使用者的真實回饋顯示:長期夜間佩戴 Reviv 護齒套後,他們打鼾、磨牙的情況減輕了,睡眠品質提升了,腦霧退散了;困擾多年的下背痛、頸肩僵硬得到了舒緩,下顎疼痛也有了明顯的改善。
我們相信,只要方法正確並且持之以恆,每個人都有機會透過這種軟組織伸展的方法找回健康平衡的身體力學與生活品質。我們也期待有更多朋友能加入我們,一起來挑戰既有觀念、探索全新的解決方案,共同見證身體長期而正向的改變!
也歡迎到我們在其他社群平台上的頻道去看看

Substack:https://substack.com/@revivtaiwan
YouTube:https://www.youtube.com/@Reviv-taiwan
TikTok:https://www.tiktok.com/@revivmouthguardtaiwan
Facebook:https://www.facebook.com/revivmouthguardtaiwan
Instagram:https://www.instagram.com/revivmouthguardtaiwan/
官方網站:https://revivtaiwan.com/